support@crystalcareortho.com
+92 323 6950809
We provide high-precision aligner treatment planning services for orthodontists and dental clinics. Our expert team ensures accurate setups, faster turnaround, and seamless case management. Partner with us to deliver predictable results and confident smiles every time.
Get started with free demo cases – no commitment required! Experience our precision and turnaround speed before you decide.
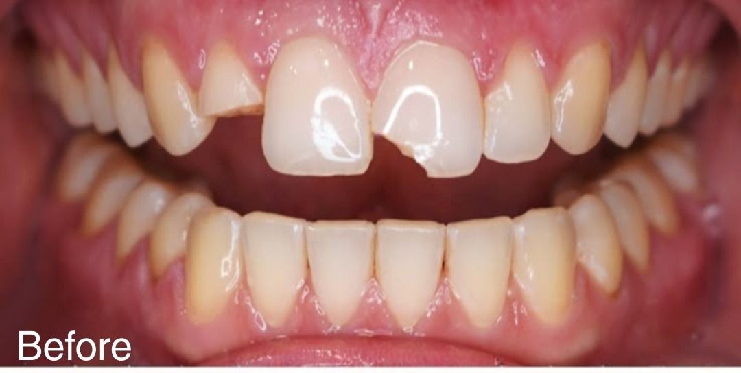
Initial scan showing pre-aligner condition.
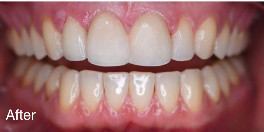
Final setup after aligner planning.
Scissor Bite and class correction with upper mesialization
Lower crowding and deep bite correction
Get started with free demo cases – no commitment required! Experience our precision and turnaround speed before you decide.
Submit Trial Case Read MoreTempor erat elitr rebum at clita. Diam dolor diam ipsum et tempor sit. Aliqu diam amet diam et eos labore. Clita erat ipsum et lorem et sit, sed stet no labore lorem sit. Sanctus clita duo justo eirmod magna dolore erat amet
Working with CrystalCare Ortho has elevated the quality of care I provide. Their treatment plans are well-structured, clear, and tailored to each patient's unique needs. It feels like having an expert partner by my side for every case. I'm very satisfied with their professionalism and consistent support.
Partnering with CrystalCare Ortho has enhanced the level of care I deliver. Their treatment plans are organized, easy to follow, and customized for every patient’s specific needs. It feels like having a dependable expert supporting me on each case. I’m extremely pleased with their professionalism and ongoing assistance
1E Irfan Block Rizwan Garden Lahore Pakistan
support@crystalcareortho.com
+92 323 6950809
© Crystal Care Ortho. All Rights Reserved.